جدیدترین مطالب
مقالات علمی دکتر سعید شاه بیگی
Limbic Encephalitis Associated with Anti_SOX1 Auto Antibodies: A Case Report
نویسنده: دکتر سعید شاه بیگی متخصص نورولوژی فلوشیپ ام اس و انسفالیت های التهابی
شرح بالینی:
مردی ۵۸ ساله به ما ارجاع داده شد. ایشان از سال قبل دچار اختلالات حافظه و خلقی گذرا شده است. به متخصص روان پزشک مراجعه می کنند و با تشخیص بیماری آلزایمر برای ایشان دنپزیل و ممانتین شروع می شود.
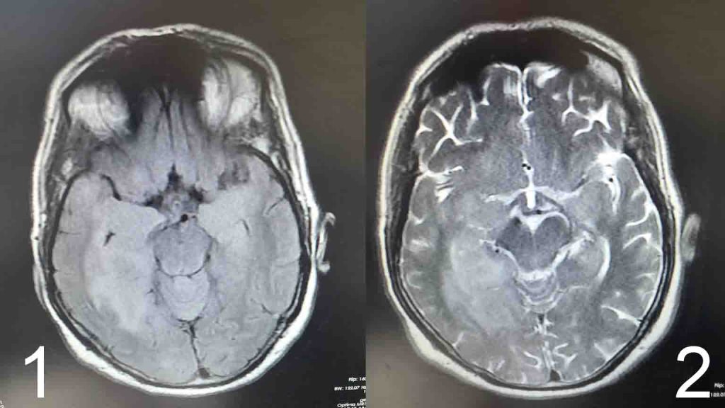
علائم بیماری سیر پیشرونده داشته و سپس دچار اختلالات شدید رفتاری، بی قراری و شخصیتی واضح می شوند.برای بیمار ام ار آی مغز در خواست می شود که ضایعات هیپرسیگنال وسیع در لوب تمپورال و فرونتال رویت می شود. ( تصویر ۱ و ۲ )
در بررسی سرم، آنتی بادی Anti SOX1 مثبت گزارش می شود. مابقی اوتوایمیون انتی بادی ها منفی می شوند. در بررسی CSF ، گلبولهای سفید منفی و میزان قند و پروتئین در محدوده نرمال گزارش می شود. OCB منفی بوده است. ویروس HSV در مایع مغزی نخاعی منفی می شود.
با تشخیص اوتوایمیون انسفالیت جهت بیمار پالس کورتون و سپس ریتوکسی ماب شروع و بیمار با بهبودی نسبی مرخص می شود.
پس از ترخیص برای یک هفته پردنیزولون ۵۰ میلی گرم دریافت می کند.
بیمار بعد از دوماه مجددا علائمش بدتر می شود. میزان اختلالات رفتاری به مراتب بیشتر و توهمات شنیداری، دیداری بیمار تشدید می یابد.
در مراجعه به ما، بیمار بی قراری مختصر و اختلال حافظه داشت(MoCA:15). معاینات دیگر، از جمله معاینه اعصاب کرانیال و تست های تعادلی و فورس اندامها طبیعی بودند.
در ام ار ای مجدد، ضایعات دوطرفه لوب های تمپورال و فرونتال دیده شد.
در بررسی پانل اوتوایمیون و پارانئوپلاستیک، تست های فوق همگی منفی بودند.
اپروچ تشخیصی
ما با مردی میانسال روبرو بودیم که دچار:
۱. اختلالات تحت حاد مغزی، شناختی_روانی مشابه انسفالیت لیمبیک شده بود.
۲. در ام ار آی مغزی، ضایعات دو طرفه لوب های تمپورال و فرونتال داشت.
در تاریخچه و معاینه بالینی، اختلالات شناختی بیمار متعاقب سرماخوردگی رخ داده بود. علائم تشنج و فاسیوبراکیال دیستونی نداشت.
نوار مغز بیمار، کند و تست های شناختی، کاهش واضح داشتند.
بر اساس جدول شماره یک، بیمار مبتلا به انسفالیت اوتوایمیون است.
جدول شماره ۱
در بررسی تست های اوتوایمیون Anti SOX1 به روش ایمونوبلاتینگ مثبت شده است ولی تست CBA منفی بوده و متاسفانه تست TBA هم که کلاً انجام نشده است.
* لازم بذکر است #Anti SOX1 آنتی بادی مربوط به آنتی ژن #Anti AGNA است که در گروه آنتی بادی های داخل سلولی ( Intranuclear) تقسیم می شود. با تشخیص #Anti SOX1 Autoimmune encephalitis بیمار را پیگیری کردیم.
با توجه به اینکه Anti SOX1 جزو گروه آنتی بادی های داخل سلولی (انکونورال آنتی بادی) محسوب می شود و از سمتی میزان ارتباط این آنتی بادی با کانسر ها بالای ۹۰ درصد است، از این رو باید اسکرین دقیقی از نظر کانسر ها انجام شود.
اپروچ درمانی
انسفالیت Anti SOX1 به علت آنکه داخل سلولی محسوب می شود و متاسفانه پاسخ مناسبی به داروهای خوراکی ایمونوساپرسیو ندارد. لذا ما برای بیمار:
* یک دوره جدید IVIG شروع کردیم
* و اسکرین دقیقی برای بدخیمی ها انجام دادیم.
نکته مهم درباره این بیمار
علیرغم آنکه Anti_ SOX1 encephalitis غالبا با سندروم LEMS (لامبرت ایتون میاستنی گراویس) و یا PCD (دژنراسیون پیشرونده مخچه ای) تظاهر می کند ولی ظهور علائم PLE (لیمبیک انسفالیت پارانئوپلاستیک) کمتر ذکر شده است و این کیس از این نظر حائز اهمیت است.
Take home message
باید دانست اگر بیماری با سندروم LEMS (ایتون لامبرت) و یا PCD (دژنراسیون پیشرونده مخچه) و یا PLE (سندروم لیمبیک) مراجعه نماید حتما باید سندروم های پارانئوپلاستیک و یا اوتوایمیون انسفالیت ها را در نظر داشت که در این بین anti_SOX1 encephalitis را هم باید در ذهن داشت.







