پربیننده ترین مطالب
بیماری آلزایمر چیست؟
حافظه و اختلالات آن
ام اس: علایم، تشخیص و درمان
Autoimmune Encephalitis after HSV Encephalitis (AEaHSVE), A case report
نویسنده: دکتر سعید شاه بیگی متخصص نورولوژی فلوشیپ ام اس و انسفالیت های التهابی
شرح بالینی:
مردی ۴۷ ساله به ما ارجاع شد. ایشان بدنبال سرماخوردگی و تب، دچار سردرد و سپس اختلالات رفتاری، شخصیتی و افت سطح هوشیاری شده و در بیمارستان بستری می شود.
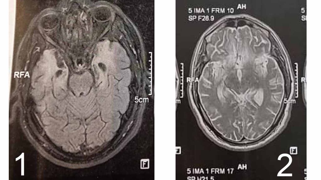
در MRI مغز، ضایعات هیپرسیگنال گسترده در لوبهای تمپورال و اینفرافرونتال دوطرفه دیده می شود. ( تصاویر ۱ الی ۴ )
در مایع مغزی نخاعی، تست HSV_1 _ PCR _ DNA مثبت می شود. مابقی تست های CSF همگی طبیعی گزارش شده اند.
با تشخیص انسفالیت هرپسی HSV Encephalitis جهت بیمار، آسیکلوویر شروع میشود.
بعد از دریافت آسیکلوویر وریدی، علائم بیمار علیرغم اینکه بهبودی نسبی پیدا می کنند ولی کماکان بعد از ترخیص، بیمار اختلالات حافظه، حملات محدود تشنج و اختلالات شخصیتی ادامه می یابد.
بیمار با اختلالات نورولوژی فوق به ما مراجعه نمود.
اقدامات تشخیصی:
جهت بیمار تست حافظه گرفته شد که در محدوده غیرطبیعی بود. (MoCA=17)
نوار مغز بیمار، Slowing Activity داشت.
در MRI مغز، ضایعات گسترده در لوبهای های تمپورال دو طرفه و اینفرافرونتال داشت که مشابه با درگیری قبلی ام آر آی بود.
بررسی اوتوایمیون آنتی بادی ها:
جهت بیمار آزمایشات اوتوایمیون آنتی بادی ها و HSV_DNA_ PCR در خواست شد.
تست های اوتوایمیون آنتی بادی ها هم به روش ایموبلاتینگ و هم CBA_IF همگی منفی شدند. ( تصاویر آزمایشگاهی ) . آزمایش HSV_Ab مثبت بود.
بحث:
بیماری انسفالیت هرپسی، درگیری لوب تمپورال و اینفرافرونتال مغز است که به صورت مونوفازیک تظاهر می کند.
در صورت عود علایم نورولوژی، بعد از انسفالیت هرپسی باید فکر کرد:
الف: انسفالیت هرپسی درمان کافی نشده است
ب:انسفالیت اوتوایمیون بعد از انسفالیت هرپسی رخ داده است ( AEaHSE).
ظهور انسفالیت اوتوایمیون بعد از انسفالیت هرپسی، یافته به مراتب شایع تری از فرم درمان ناکافی انسفالیت هرپسی است. از این رو برای بیمار فوق، مشکوک به AEaHSE شدیم.
گفته می شود، بیمارانی که دچار انسفالیت هرپسی می شوند در ۱۰ تا ۳۰ درصد موارد، ممکن است که بعدا دچار انسفالیت اوتوایمیون شوند ( AEaHSE) .
در این موارد، علیرغم ظهور علایم نورولوژی و یا تشدید اختلالات رفتاری و یا تشنج بیمار، ویروس HSV در مایع مغزی نخاعی( CSF) یافت نمی شود و نمای جدید ام آر آی مشابه نمای قبلی نیست و بیمار به درمان مجدد آسیکلوویر دیگر نیز پاسخ نمی دهد.
در این موارد، قطعا باید پانل آنتی بادی های اوتوایمیون در خواست شود.
شایع ترین اوتوآنتی بادی که در AEaHSE دیده می شود، NMDAR است که باعث عود حملات انسفالیت بعد از هرپس انسفالیت می شود.
علاوه بر آنتی بادی فوق ، آنتی بادی دیگر از جمله AMPA, LGI1,CASPR2, DPPX هم باید در نظر گرفته شوند.
درمان:
در صورت تایید تشخیص AEaHSE اپروچ درمانی مشابه با درمان انسفالیت های اوتوایمیون است. یعنی باید برای بیمار ، پالس کورتون و IVIG و متعاقب آن ریتوکسی ماب شروع نمود.
تشخیص نهایی:
بیمار فوق با توجه به اینکه، الگوی ام آر آی دوم مشابه با ام آر آی اول بود و از سمتی پانل آنتی بادی های اوتوایمیون کاملا منفی شدند، تشخیص HSE داده شد و علایم نورولوژی بیمار، به عوارض نورولوژی بعد از عفونت هرپس اطلاق شد.







